Bé gái bị đốt thủng thực quản, nghẹt thở suýt chết, nguyên nhân từ “Tử thần” có trong mọi gia đình nhưng chẳng mấy ai đề phòng

Cô bé 9 tuổi đột ngột lên cơn đau quằn quại, la hét vì thực quản bên trong cơ thể đang bốc cháy và gần như không thể thở được.

Mới đây, tờ Metro đưa tin về vụ việc một bé gái 9 tuổi tên Sarah Wallace ở thành phố Fife, Scotland đã phải đi cấp cứu trong tình trạng thực quản bên trong cơ thể đang bốc cháy. 

Vào khoảng 10 giờ tối ngày 22/11, bé Sarah nói với mẹ và cha dượng rằng mình cảm thấy không ổn. Cha mẹ bé đã nhanh chóng gọi điện cấp cứu nhưng khi mới đặt điện thoại xuống, họ đã giật mình khi thấy Sarah la hét đau đớn. Em ôm lấy ngực quằn quại và không thể nói được, thở cũng vô cùng nặng nhọc khó khăn. 

Bé gái bị đốt thủng thực quản, nghẹt thở suýt chết, nguyên nhân từ “Tử thần” có trong mọi gia đình nhưng chẳng mấy ai đề phòng - Ảnh 1.

Bé Sarah Wallace 9 tuổi vừa qua cơn thập tử nhất sinh

Quá lo sợ, bà Joanne - mẹ Sarah và chồng đã lấy xe chở trực tiếp con đến bệnh viện Victoria gần nhà mà không đợi xe cấp cứu nữa. Khi đến phòng cấp cứu, các nhân viên y tế đã phải xông chất diamorphine lên mũi cô bé để giúp em giữ bình tĩnh. 

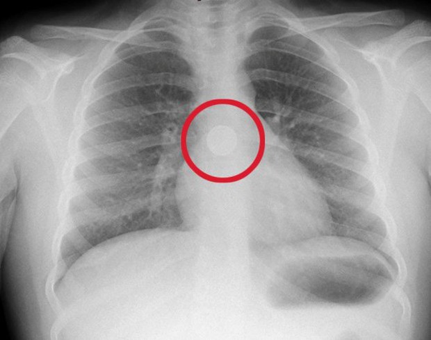
Bác sĩ nhanh chóng tiến hành chụp X-quang để xác định vấn đề. Lý do khiến Sarah lâm vào tình cảnh nguy kịch là vì bên trong thực quản em có một dị vật và nó đang cháy âm ỉ bên trong. Lúc này, cô bé đang bị nghẹt thở vì dị vật chặn đường hô hấp. Với sự trợ giúp và hướng dẫn của bác sĩ, Sarah đã ho mạnh và đẩy dị vật rơi ra ngoài. 

Bé gái bị đốt thủng thực quản, nghẹt thở suýt chết, nguyên nhân từ “Tử thần” có trong mọi gia đình nhưng chẳng mấy ai đề phòng - Ảnh 2.

Ảnh chụp X-quang thực quản của cô bé

"Tử thần" suýt lấy mạng bé gái 9 tuổi là một viên pin tròn nhỏ. Hóa ra là vào tối hôm đó, trước khi đi ngủ, Sarah đã nghịch ngợm nuốt viên pin trong điều khiển của chiếc đèn ngủ phòng mình. 

Bé gái bị đốt thủng thực quản, nghẹt thở suýt chết, nguyên nhân từ “Tử thần” có trong mọi gia đình nhưng chẳng mấy ai đề phòng - Ảnh 3.

Sarah đã nuốt viên pin cúc áo rất nhỏ vào bụng (Ảnh minh họa)

Bác sĩ cho biết nếu bố mẹ của cô bé không phản ứng kịp thời thì nhiều khả năng em đã tử vong thương tâm như không ít trường hợp bất cẩn trước đó. Tình huống trẻ nuốt phải pin không phải hiếm gặp vì đây là vật dụng rất quen thuộc, có mặt trong hầu hết mọi gia đình. Vậy nên các gia đình có trẻ nhỏ được khuyến cáo nên dính chặt phần chứa pin của thiết bị đồ dùng và không để trẻ tiếp xúc với vật này. 

Bé gái bị đốt thủng thực quản, nghẹt thở suýt chết, nguyên nhân từ “Tử thần” có trong mọi gia đình nhưng chẳng mấy ai đề phòng - Ảnh 4.

Nếu không được đưa đi cấp cứu nhanh chóng, Sarah nhiều khả năng đã mất mạng

Hiện tại, tuy đã qua cơn nguy kịch nhưng Sarah vẫn phải tiếp tục dùng thuốc omeprazole để hỗ trợ quá trình phục hồi. Mẹ bé cho biết thực quản của con khi lành cũng sẽ bị để lại sẹo nhẹ. Rất may mắn là viên pin chỉ ở trong thực quản của Sarah khoảng 1 tiếng đồng hồ và không di chuyển ra nơi khác, nếu không ngay cả khi không mất mạng thì sức khỏe về sau cũng sẽ bị ảnh hưởng nặng nề. 

Nguồn: Metro

Kênh 14

Post a Comment

Previous Post Next Post

Recent in Premium

Nhận xét mới